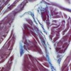
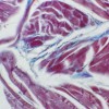
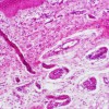
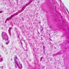
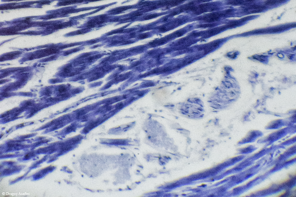
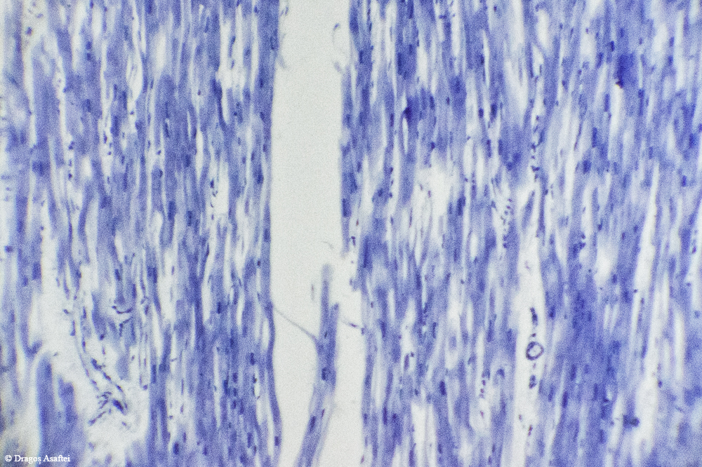
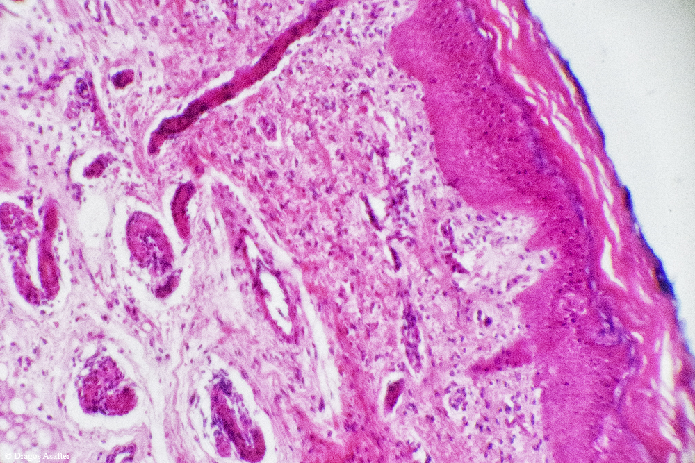
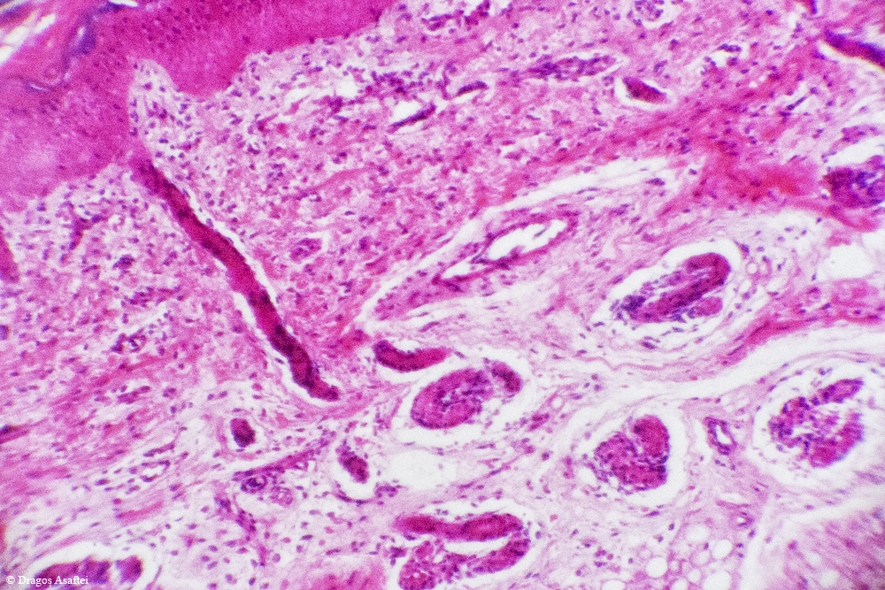
Ieri am încercat ceva mai diferit decât tot ceea ce încercasem până acum din punct de vedere fotografic, am fotografiat printr-un microscop simplu, clasic, câteva țesuturi umane. N-am folosit un adaptor dedicat, nu am folosit vreun anumit sistem care să faciliteze fotografierea prin microscop.
Am încercat mai multe metode și am descoperit că cea mai bună a fost prin inversarea obiectivului și scoaterea ocularului de pe microscop. Am reușit astfel să fotografiez cu 18-55 inversat pe D7000, la 20-30mm, cu diafragma deschisă la maxim. Din păcate lumina e destul de slabă și am fost nevoit să fotografiez cu ISO 2500 sau 3200.
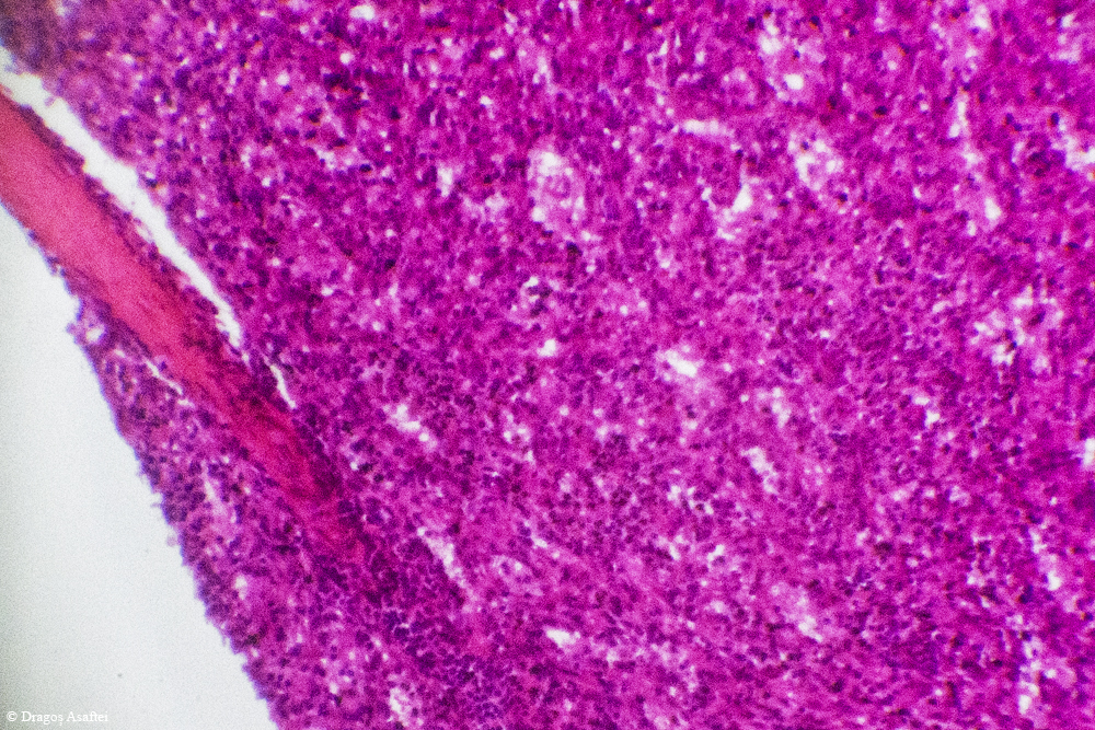
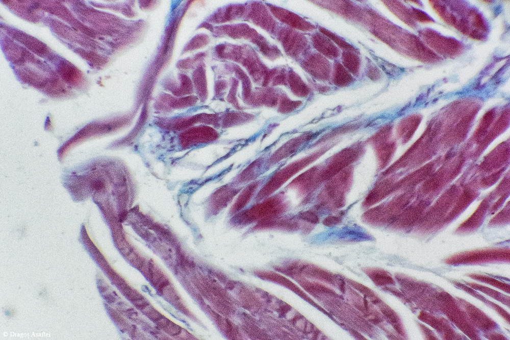
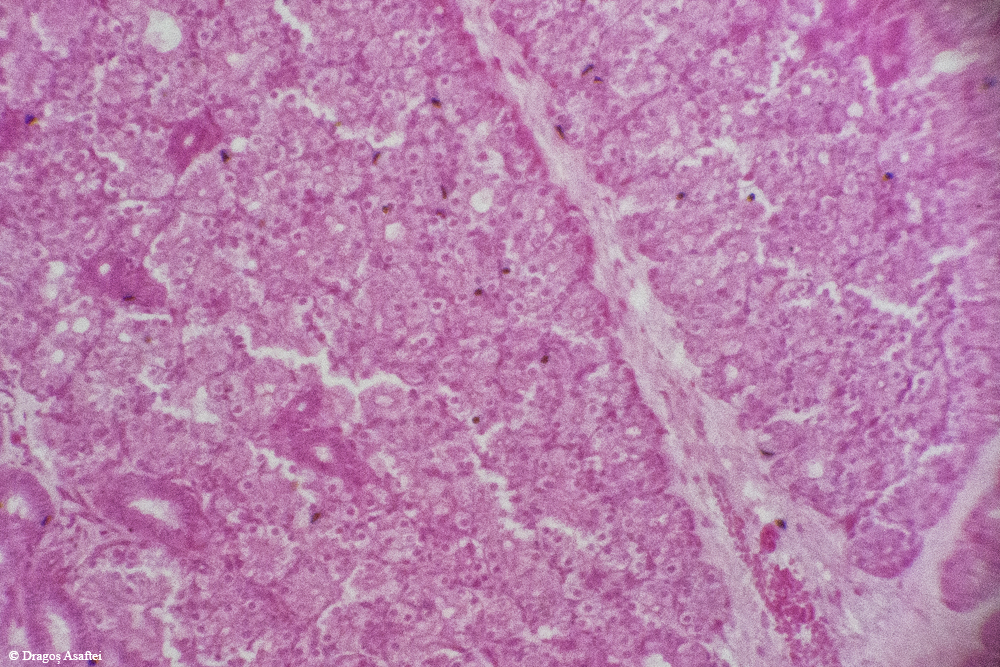
Nu știam de această metodă sau de o altă metodă viabilă pentru fotografierea prin microscop, a fost un lucru de moment care a prins foarte bine. Aveți mai jos fotografii cu următoarele țesuturi (în ordine): vena, os, cerebral, adipos, splina, mușchiul inimii, mușchi striat, mușchi, inimă.














5 comments
e ok preparatul… eu is la inginerie alimentara asa zisul OPC, toata ziua is cu ochii prin microscop…
De unde ai facut rost de „materiale”?
Sper sa nu fie stupida intrebarea…
Din laboratorul de biologie al școlii. 🙂
tesutul adipos e mai mult piele si tesut celular subcutanat cu anexe(glade sebacee si sudoripare) printre care se afla si asa un tesut adipos
anywayz, foarte tari 🙂
Mulțumesc! 🙂